г. Стерлитамак Артёма 149

Центр экспертной

СТОМАТОЛОГИческой

Хирургии

Основатель:
Тухватуллин Олег Робертович
Ведущий стоматолог-хирург в Республике Башкортостан.
Признанный эксперт, призёр Международного конкурса по дентальной имплантации.
Основатель Стоматологического центра "ДОКТОР TOP"
Стоматолог-хирург-имплантолог

ПРОВЕЛ БОЛЕЕ 10 000 УСПЕШНЫХ ОПЕРАЦИЙ ПО ИМПЛАНТАЦИИ ЗУБОВ

ЗАПИСАТЬСЯ НА КОНСУЛЬТАЦИЮ
Ведущий стоматолог-хирург в Республике Башкортостан.
Автор профессиональных образовательных программ по Навигационной Хирургии.
Признанный эксперт по Мукогингивальной хирургии и дентоальвеолярной реконструкции.
Призёр от РФ на Мировом конкурсе по Имплантации.

Обучился у лидирующих мировых профессоров стоматологической хирургии.

СТОМАТОЛОГИЧЕСКИЕ УСЛУГИ

ЭКСПЕРТНОГО УРОВНЯ

Провожу операции любой сложности по удалению зубов и восстановлению костной ткани по высоте и ширине методом подсадки костных блоков и НКР, пластику мягких тканей и закрытия рецессии десны. Работаю с цифровыми протоколами, фотопротоколом, а также хирургическими шаблонами, что позволяет максимально точно спрогнозировать имплантацию и протезирование.
ЗАПИСАТЬСЯ НА ПРИЁМ
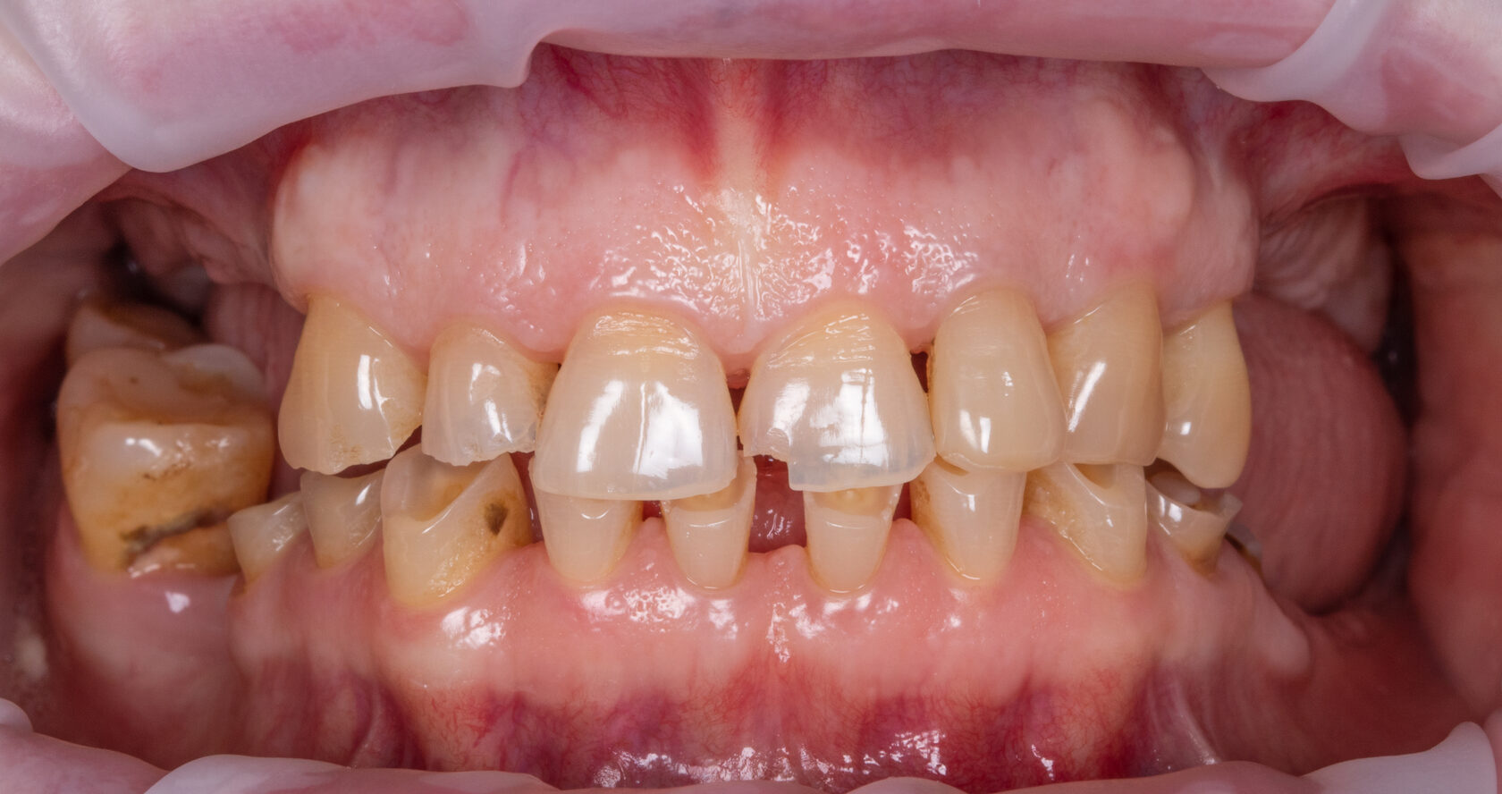
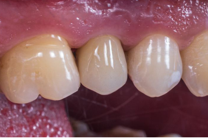
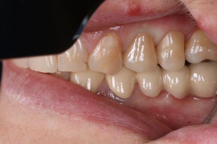
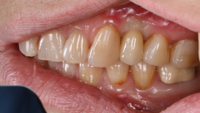
ПРИМЕРЫ ОПЕРАЦИЙ: ИМПЛАНТАЦИЯ ЗУБОВ
ДО/ПОСЛЕ
Before
After
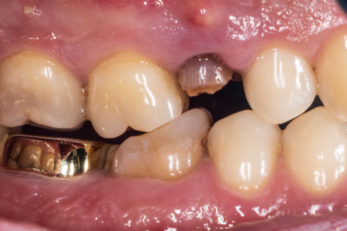
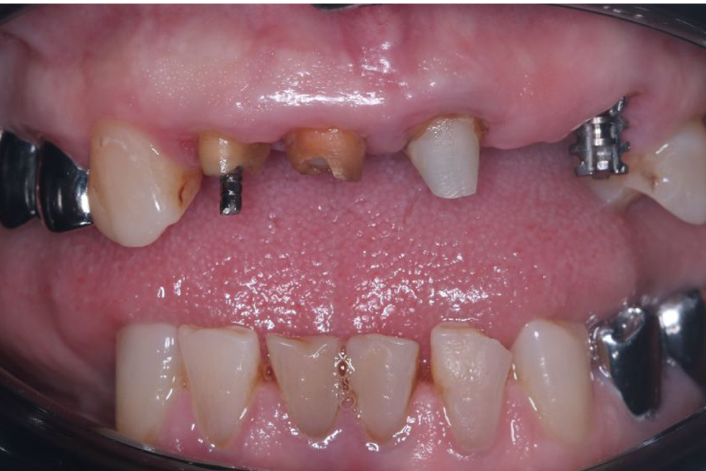
УСТАНОВКА ИМПЛАНТА
Before
After
ОДНОМОМЕНТНАЯ ИМПЛАНТАЦИЯ
Before
After
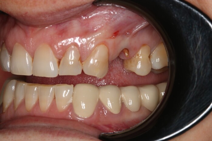
ИМПЛАНТАЦИЯ
Before
After
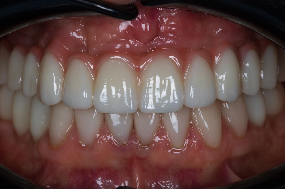
УСТАНОВКА ИМПЛАНТАТА С ИЗГОТОВЛЕНИЕМ КОРОНКИ
Before
After
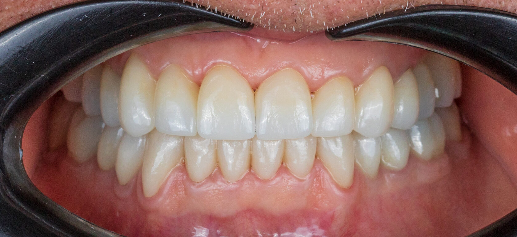
УСТАНОВКА ИМПЛАНТАТА И ПРОТЕЗА
Before
After
ИМПЛАНТАЦИЯ ЗУБОВ
ПРИМЕРЫ ОПЕРАЦИЙ: ПРОТЕЗИРОВАНИЕ ЗУБОВ
ДО/ПОСЛЕ
Before
After
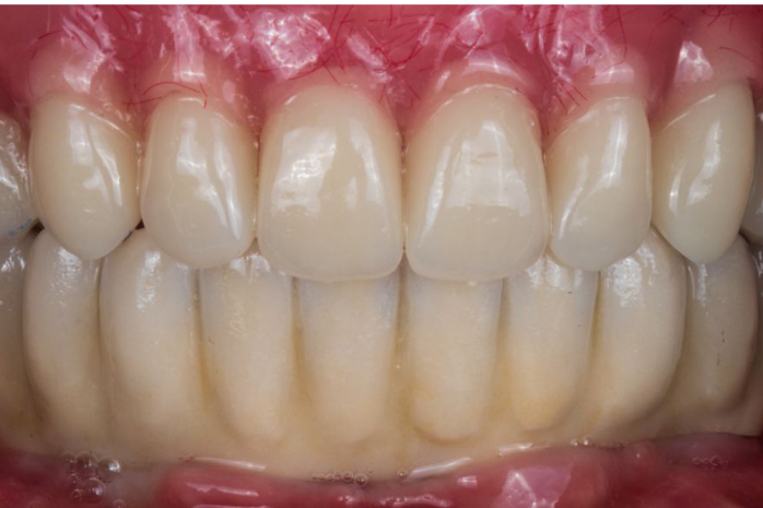
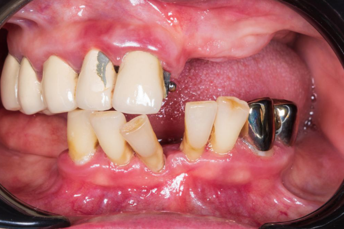
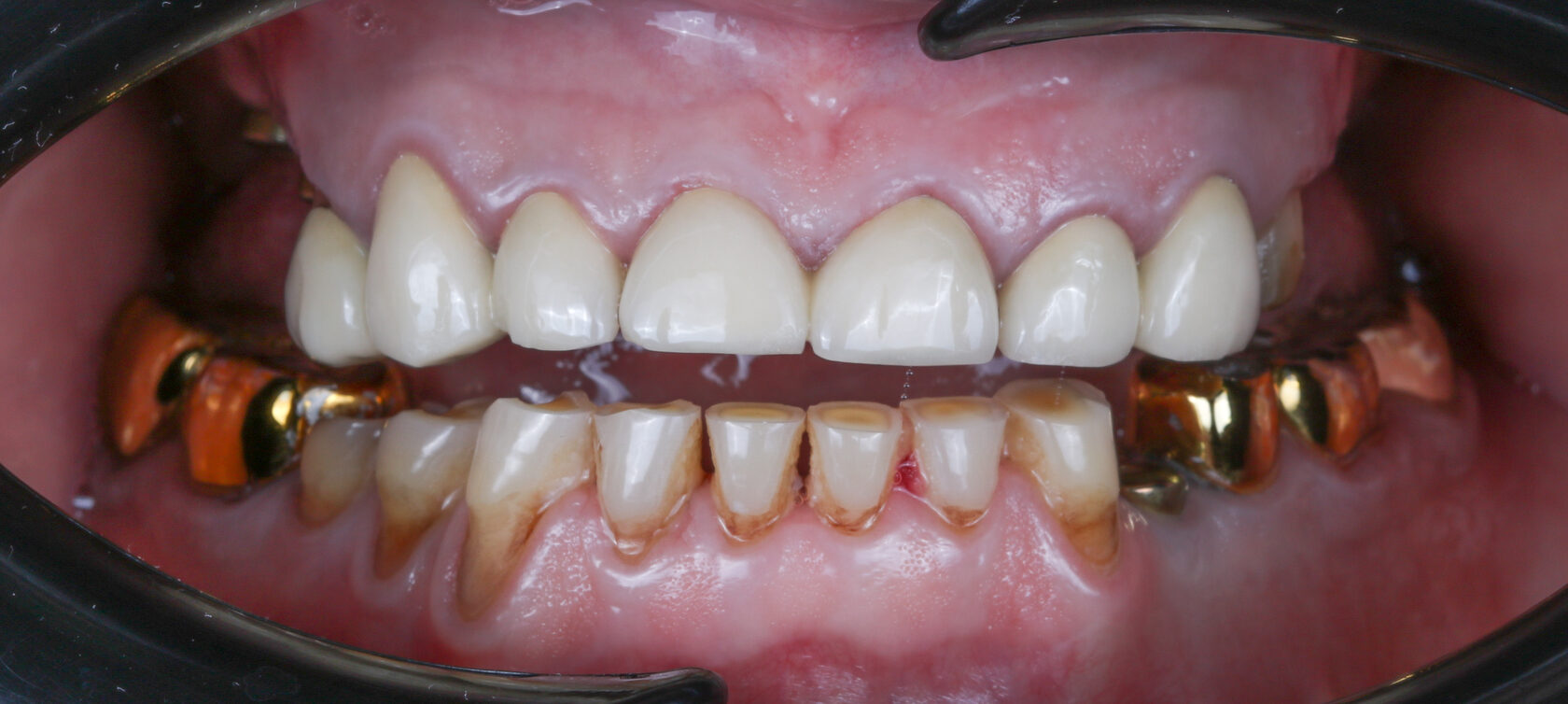
ПРОТЕЗИРОВАНИЕ НА ИМПЛАНТАТАХ
Before
After
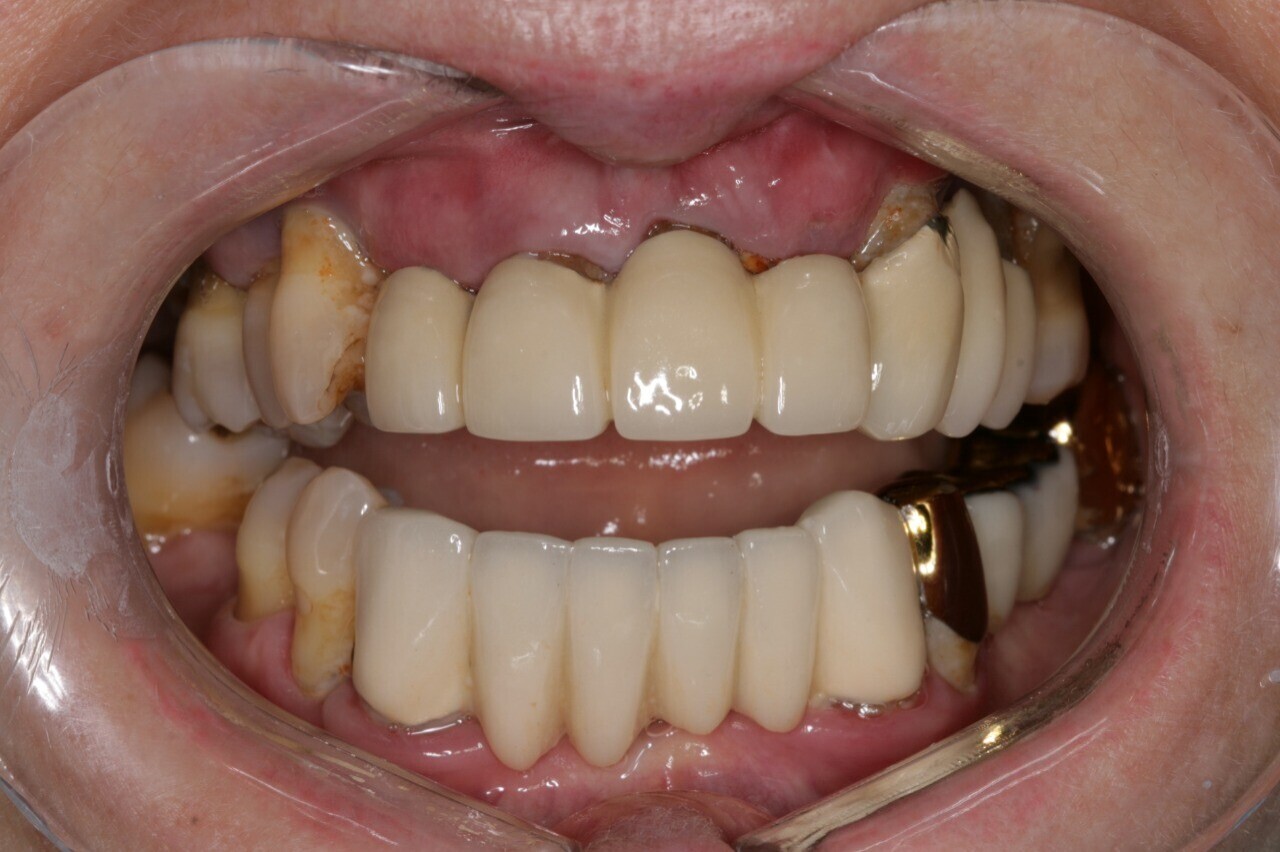
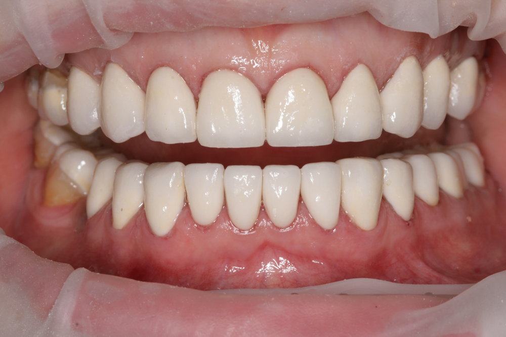
ТОТАЛЬНОЕ ПРОТЕЗИРОВАНИЕ
Before
After
СЪЁМНЫЙ ПРОТЕЗ
Before
After
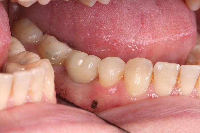
ПРОТЕЗИРОВАНИЕ НА ИМПЛАНТАХ
Before
After
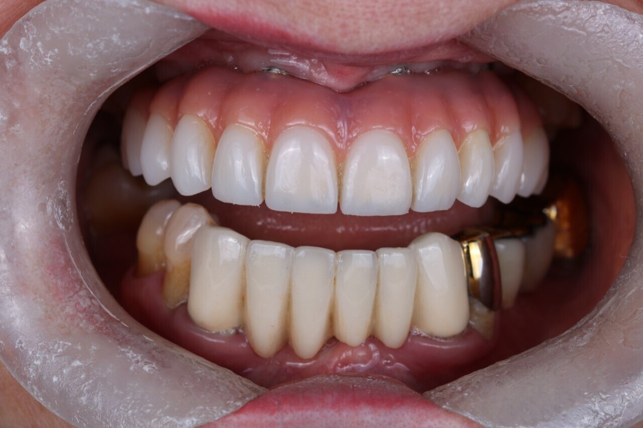
ПОЛНОЕ ПРОТЕЗИРОВАНИЕ
Before
After
ПРОТЕЗИРОВАНИЕ НА ИМПЛАНТАХ

Поможем восстановить красивую улыбку и

сохранить здоровье ваших зубов на десятилетия..


Мы создали пространство, где здоровье и эстетика зубов приходят к абсолютному балансу.
Здесь ваш путь к безупречной улыбке регламентирован - от высокоточной диагностики до сложнейших хирургических операций под контролем единой команды экспертов, чтобы вы ощущали поддержку и безопасность каждую минуту нахождения в клинике.

Все стоматологические услуги в одной клинике:

  • Поможем сохранить зубы здоровыми и избежать сложного лечения в будущем.
  • Аккуратно вернём зубам их природный блеск и натуральную белизну.
  • Сделаем детальную картину здоровья ваших зубов за один визит.
  • Исправим прикус в любом возрасте, возвращая лицу чёткие контуры.
  • Настроим баланс между челюстью и осанкой для жизни без боли и напряжения.
  • Видим то, что скрыто от глаз, обеспечивая безупречное качество в каждом миллиметре.
  • Безопасно погрузим в спокойный сон, чтобы вы проснулись с уже готовой улыбкой.
  • Удалим зуб и с ювелирной точностью поставим новый за один день!
  • Бережно адаптируем малыша к лечению через игры и искреннее внимание к чувствам.
Запишитесь на консультацию!